Причины возникновения EVALI и роль витамина Е

Эксперт лаборатории «Гемотест» Ольга Уланкина рассказала о ключевых аспектах болезни EVALI. Это состояние, обозначающее повреждение легких из-за употребления электронных сигарет. Основной подозреваемый в его развитии — витамин Е (альфа-токоферола ацетат). Маслянистый компонент, который часто добавляют в жидкости для вейпов, при нагревании преобразуется в токсичные соединения, повреждающие легочную ткань.
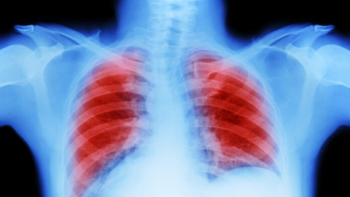
Симптомы и методы диагностики
Среди основных признаков EVALI врач выделила кашель, боль в груди, одышку и повышение температуры. В сложных случаях возникает риск дыхательной недостаточности, требующей подключения к аппарату ИВЛ. Для подтверждения диагноза проводят рентгенографию, КТ легких, бронхоскопию и лабораторные анализы.
Лечение включает кортикостероиды, антибиотики и кислородную терапию. Однако, как подчеркнула Уланкина, лучшая профилактика — полный отказ от вейпов и электронных сигарет. Эти устройства также содержат токсичные металлы, никотин и ароматизаторы, которые усугубляют риски для здоровья.
Внимание к проблеме на государственном уровне
В сентябре 2024 года Владимир Путин во время встречи с учениками школы №20 в Кызыле обратил внимание на растущую популярность вейпов среди молодежи. Президент России поддержал инициативы, направленные на защиту здоровья подрастающего поколения и пропаганду осознанного образа жизни.
Источник: russian.rt.com






